|
|
首页 > 医院动态 > 骨六科成功完成我院首例 一期双膝关节骨关节炎单髁关节置换术
骨六科成功完成我院首例 一期双膝关节骨关节炎单髁关节置换术
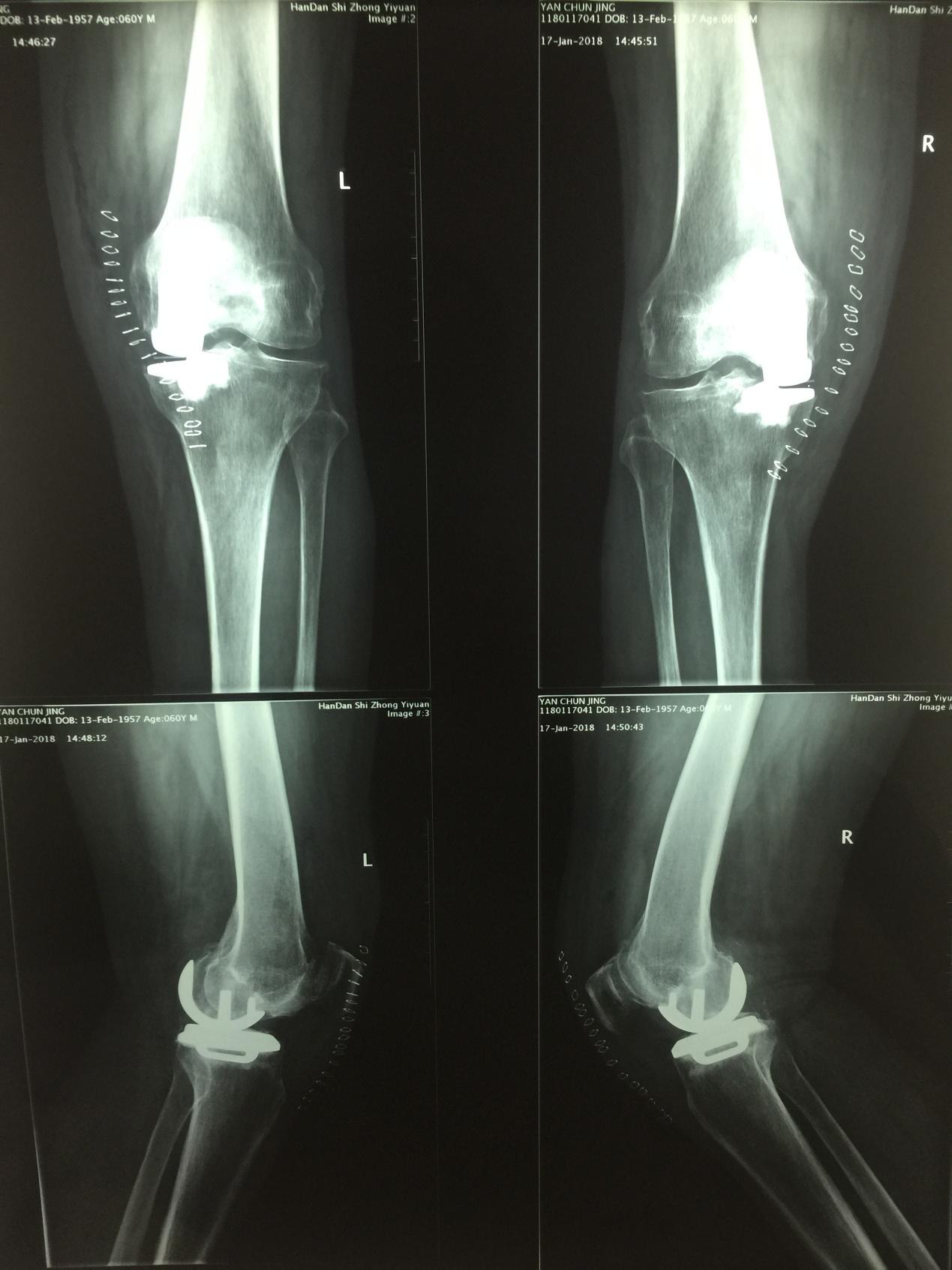
随着人口老龄化,膝关节骨关节炎的发病率逐年增高,膝关节骨关节炎的治疗方法很多,探索膝关节骨关节炎的阶梯化治疗成为必然。1月16日下午,我院骨六科主任甄红军,带领蒿俊行主治医师、刘章主治医师,成功完成医院首例一期双膝关节骨关节炎单髁关节置换术。标志我院在膝关节骨关节炎保膝治疗领域又上一个新台阶。 患者闫先生,男,60岁,双膝关节疼痛10余年,关节内翻畸形、活动受限,经口服药物、关节腔注射玻璃酸钠、关节镜清理术后、症状反复发作,影响生活和工作,不能正常行走。来到中医院就诊后,骨六科甄红军主任经科室会诊讨论后认为:患者男性60岁,主要表现为双膝关节内侧疼痛,X线片显示膝关节内侧间室退变严重、外侧关节间室、膝关节交叉韧带和髌股关节良好,决定给患者行双膝关节单髁关节置换手术,手术顺利,术后患者恢复良好。 膝关节单髁置换术:是应用MIS微创技术,不破坏膝关节韧带结构,手术创伤小、术后关节活动度更大、恢复快,病人住院时间短,属于保膝治疗手术。 其适应症:1、膝关节单间室间隙变窄(负重位相),不合并外侧间室和髌骨关节的退变 2、前交叉韧带功能完好 3、年龄在55岁以上,从事轻体力活动的人群 4、膝关节关节内的畸形、屈曲强直畸形角度﹤15。
专家简介:
甄红军,邯郸市中医院骨六科主任,主任医师,河北医科大学兼职教授,邯郸市第二批市管专家,邯郸市政协委员。世界医师疼痛协会中国分会会员,中华中医药学会骨伤学分会会员,河北省中西医结合学会微创外科学会常委,河北省中医药学会骨伤分会常委,河北省中医药学会血栓病学会常委,河北省老年脊柱关节病专业委员会常委。第四批河北省名老中医药专家学术经验继承人。2001年于陆军总医院骨科进修一年,拜骨科元老胥少汀教授为师,学习脊柱疾病和脊髓损伤的治疗。2009年于洛阳正骨医院学习整脊手法和关节病的中西医结合治疗。2017年3月于首都医科大学宣武医院脊柱骨病疼痛治疗中心进修学习颈椎病和腰椎间盘突出的椎间孔镜和低温等离子射频微创治疗。2017年8月于河北医科大学第三医院骨科参加脊柱微创暨椎间孔镜学习班。近年来重点研究脊柱和关节疾病,多次参加国际和国内举办的脊柱疾患和关节置换新进展学习班。主编骨科著作6部,发表国家级核心期刊20篇。荣获邯郸市科技进步三等奖两项,实用新型专利一项。目前重点研究:脊柱疾病微创治疗和膝关节骨关节炎的阶梯化治疗。
|











邯郸市中医院 版权所有©2003-2018 地址:邯郸市和平路366号
