|
|
首页 > 医院动态 > 骨五科成功完成首例3D打印技术 辅助膝关节置换术
骨五科成功完成首例3D打印技术 辅助膝关节置换术
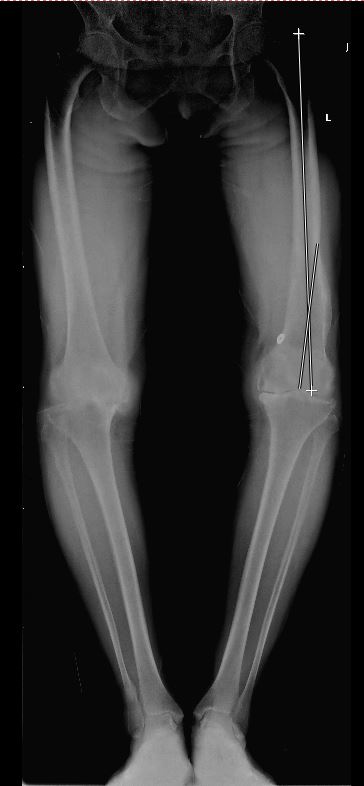
2018年6月1日,我院骨五科钱宏主任团队,率先完成我院首例3D打印技术辅助下股骨畸形全膝关节置换术,并获得成功。 患者女性,60岁,20年前曾有股骨髁上骨折病史,后骨折畸形愈合,畸形愈合后股骨远端存在屈曲以及内翻畸形。如果按照常规方法行膝关节置换,股骨定位会存在较大偏差,有可能因为股骨截骨偏差导致下肢力线不良以及软组织不平衡。术前钱宏主任经过慎重考虑,决定采用3D打印定制个性化截骨导板,精确截骨,避免常规截骨偏差可能造成的不良后果,使用3D技术需要对患者行全下肢CT平扫,同时在计算机内重新建模并模拟截骨,并根据截骨后结果计算力线,评估截骨后结果,并计算出假体型号,经过一系列充分的术前规划,并利用3D打印技术打印出患者股骨以及胫骨模型,股骨以及胫骨截骨导板。 在术中,利用3D打印制作的截骨导板,在导板引导下进行截骨,做到了手术操作的完全准确,在保证手术质量的前提下,缩短了手术时间,降低了患者风险。 随着3D打印技术的成功应用,标志着我院骨科针对复杂的膝关节置换的水平达到了一个新的高度。(苏希国 朱步奇)
骨五科钱宏主任团队手术中
骨五科钱宏主任团队手术中
与对侧股骨对比,患者左侧股骨存在内翻畸形 重建后的股骨3D模型与模拟力线
|











邯郸市中医院 版权所有©2003-2018 地址:邯郸市和平路366号


